Die natürliche Wirkung unserer Zähne entsteht durch die Harmonie sehr unterschiedlicher Effekte. Lichtdurchlässigkeiten, Schmelzrisse, unterschiedliche Opazitäten und vielerlei Farbnuancen bestimmen ebenso wie Form und Proportion die ästhetische Wahrnehmung.
Moderne keramikgefüllte Kompositmaterialien erlauben eine schichtweise Rekonstruktion dieser Merkmale und ermöglichen es, Hohlräume oder verloren gegangene Zahnsubstanz „unsichtbar“ wieder aufzubauen. Hierzu stehen eine Vielzahl von Farbschattierungen mit unterschiedlicher Lichtdurchlässigkeit und Farbsättigung zur Verfügung.
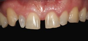
Im folgenden Beispiel wurden, nach einem Bleaching, alle Schneide- und Eckzähne mit Komposit in Schichttechnik aufgebaut. Die mittleren Schneidezähne wurden vorgängig geringfügig verschmälert.


Im Laufe des Lebens kommt es häufig zu Zahnwanderungen. Durch geschickte Kombination von abtragenden und aufbauenden Techniken kann eine ideale Zahnstellung wiederhergestellt werden. Unten sehen Sie das Beispiel einer schonenden Umformung im Unterkiefer:

vorher nachher








